Yogi Prahlad Jani

Dieser dreiundachtzigjährige Jogi behauptet, ohne Nahrung auskommen zu können.
Im SPON erschien gestern ein Artikel dazu, der auch in unser Wiki verlinkt:

Ist er ein Wunder oder doch bloß ein Scharlatan? Der 83-jährige Yogi Prahlad Jani aus Indien behauptet, seit über 70 Jahren nichts mehr gegessen und getrunken zu haben – dank Meditation und göttlichem Segen. Indische Ärzte wollen den rätselhaften Yogi nun untersuchen. Es ist nicht das erste Mal.

Spiegel online, 28.04.2010 70: Jahre ohne Nahrung Ärzte knöpfen sich angeblichen Wunder-Yogi vor
Vielen Dank dafür, das letzte Mal gingen dadurch die Zugriffszahlen für ein ziemliches Außenseiterthema ordentlich nach oben.

Da es nicht das erste Mal war, gibt es schon Laborwerte von älteren Untersuchungen: Prahlad Jani -Ten Day Study Medical Case Summary.
Wir haben die aus gegebenem Anlass grafisch aufbereitet und den Wikiartikel etwas aufgebohrt:
null

Bei nüchterner Betrachtung zeigen die Werte genau das, was ganz normal ist, wenn man aufhört zu essen:

Einige der Parameter sind in einem Bericht der Untersucher nachzulesen. Die berichteten Parameter zeigen ein stetiges Ansteigen der Blutharnstoffwerte, sowie der Serumelektrolyte, bei gleichzeitiger Zunahme des Hämatokrits und Abnahme des Blutzuckers. Der Hämatokrit nimmt als Zeichen der zunehmenden Austrocknung (Dehydratation) zu (Hämokonzentration). Die Austrocknung zeigt sich auch in dem Ansteigen der Serumnatriumkonzentration und Serumchloridwerte. Nach dem Fastenversuch stieg der Blutzucker wieder an und nur drei Tage nach dem Versuch normalisierten sich die Blutwerte wieder, was darauf hindeutet, dass er wieder Nahrung und Flüssigkeit aufgenommen hat. Die Ultraschalluntersuchungen zeigten ein allmähliches Ansteigen der Urinmenge in der Harnblase bis 120 ml. Als dies ihm mitgeteilt wurde, solle er selbst dafür gesorgt haben, die Urinmenge auf unbekannte Art zu „resorbieren“. Denkbar wäre, dass er seinen eigenen Urin trank oder unbemerkt anderweitig entsorgte. Zwar wurde der Proband videoüberwacht, wie jedoch Ausschnitte der Videos zeigen, wandte er oft der Kamera den eigenen Rücken zu. Während des Versuches verlor Jani erstaunlicherweise an Gewicht. Ein Gewichtsverlust während eines Zeitraums kontrollierten Nahrungsentzugs ist mit der Hypothese kompatibel, dass es während des Versuchs zu einer Änderung der Ernährungsgewohnheiten gekommen war.

Esowatchwikilinks:
Yoga
Inedia (Nahrungslosigkeit)
Sudhir V. Shah (indischer Arzt und Neurologe)

AFP-Meldung:
Ärzte untersuchen asketische Fähigkeiten von Yogi

Mal sehen, wie wir unseren Artikel überarbeiten können, wenn in zwei Monaten die Ergebnisse der aktuellen Untersuchungen vorliegen.
Die Biologie werden wir sicher nicht umschreiben müssen. Menschliche Perpetua mobilia sind unmöglich.
Wie heißt es so schön?
Menschliche Gesetze beginnen mit du „Du darfst nicht…“,
Naturgesetze beginnen mit „Du kannst nicht…“.

72 Kommentare zu „Yogi Prahlad Jani“

  1. Interessant ist die Frage, warum dem untersuchenden Sudhir V. Shah bei diesen entlarvenden Blutwerten kein Licht aufging. Er geht noch nicht einmal naheliegenden Hypothesen des Betrügens nach.

    Antworten
  2. hier sei auch an das anthroposophische Wunder Judith von Halle erinnert:

    https://www.psiram.com/de/index.php?title=Judith_von_Halle

    „Judith von Halle

    Judith von Halle (geb. 1972) ist eine Berliner Architektin, Autorin und Anthroposophin, bei der seit April 2004 Stigmata zu beobachten sind. Sie behauptet, die Ereignisse um die Kreuzigung Christi, wie bei einer Zeitreise, körperlich erlebt zu haben.

    Ferner kommt sie seit 2004 angeblich ohne jede Nahrung aus, genauso wie es der Anthroposoph Michael Werner ebenfalls behauptet. Von Halle behauptet auch – analog zum Hellseher Rudolf Steiner – „Schauungen“ zu erleben.

    Von Halle hält regelmäßig Vorträge vor Mitgliedern der anthroposophischen Gesellschaft, wobei sie dabei mit verbundenen Handgelenken auftritt, als Zeichen ihrer vermeintlichen Stigmata.
    Werke von Von Halle erscheinen im anthroposophischen „Verlag am Goetheanum“. Am Goetheanum in Dornach hielt sie auch Vorträge im „Großen Saal“[1][2]. Sie gilt in Teilen der Anthroposophieszene als eine „Neue Eingeweihte“. (…)“

    Antworten
  3. Pingback: Tweets that mention EsoWatch » Yogi Prahlad Jani -- Topsy.com
  4. Zitat aus eurem „Artikel“:

    „Der indischen IRA war es zuvor mehrfach gelungen derartige „Wunderfälle“ als Betrug zu entlarven.“

    Und genau dazu habt ihr dann keine Quelle. Aber so genau muss man das ja auch nicht nehmen. Böser Mann, das reicht völlig.

    Antworten
  5. Menschenverstand? Und in eurem Fall auch noch gesund? Sonst hinter jeder Studie herhechelnd? Jetzt fängts an lustig zu werden. Das offizielle willkommen im Fantasialand.

    Antworten
  6. Hallo Bigott ! Diese anderen Betrügereien von der die I.R.A. berichtet waren nicht Thema des Artikels. Man könnte ihnen alle einzelnen nachgehen, und wenn mindestens zwei unabhängige Quelle vorhanden sind, darüber berichten.

    Die Quelle zu der I.R.A.-Angabe ist sehr wohl angegeben: bitte nach Referenz 1 schauen. Die I.R.A. hat sogar dazu einen eigenen Artikel in deutscher Sprache. Hier ist Referenz 1:

    http://www.rationalistinternational.net/article/20031209_de.htm

    Ich kann leider nicht bestätigen, dass in den Kreisen der Licht- oder Luftesser überhaupt nach zitierbaren Quellen gesucht wird.

    Antworten
  7. Aber das esowatch-Wiki geht bereits auf genügend Betrugsfälle und hochverdächtige Fälle von angeblich Nahrungslosen ein. Terese Neumann: nach ihrem Tod fand man Essensreste und Geschirr hinter einer Tapetentür. Wiley Brooks, die Nr. 1 der „Breatherianer“ in den USA wurde in einem Fast-Food Restaurant erwischt mit Hot-dogs, Jasmuheen versagt bei einem Test und wurde mehrfach in restaurants erwischt, Hira Ratan Manek wurde in San Francisko in einem indischen Restaurant erwischt und bei Michael Werner versagte seine Wunderfähigkeiten bei einer Überprüfung im Krankenhaus. Ram Bahadur Bomjon verfügt über einen unterirdischen Tunnel zum Ort wo er sich Schaulustigen präsentiert. Pünktlich abends wird ein Vorhang hochgezogen und er verschwindet bis zum nächsten Morgen.

    Antworten
  8. @Deceptor

    Nun liegt hier der Fall aber so, dass der Mann unter 24-h-Rundumüberwachung steht und dass sich das indische Militär vehement für seine Fähigkeiten interessiert. Der hat gewiss keine Coladosen oder Pizzaschachteln hinter der Wand. Zum Zeitpunkt des Berichts hatte er mindestens schon viereinhalb Tage ohne Flüssigkeitsaufnahme hinter sich. Jeder normale Mensch wäre da tot oder so gut wie tot, er ist aber bei unverändertem Befinden. Dass er außergewöhnliche Fähigkeiten hat, dafür spricht zumindest so einiges.

    Hat sich irgendeiner der oben zitierten Betrugsfälle mal einem solchen Test unterzogen und unter vergleichbaren Bedingungen vermocht, die Überwacher derartig zu täuschen?

    Ohne Kollaboration der am Test beteiligten ist das schwer vorstellbar. Wenn dort betrogen wird, dann müssten Personen, die an der Untersuchung beteiligt sind, Mitwisser und Helfer sein. Wie sollte es sonst gehen?

    Antworten
  9. Wenn die Temperarturen passen, kann man deutlich länger als 4 Tage ohne Flüssigkeit auskommen. Sollte sich das indische Militär tatsächlich dafür interessieren, kann man das genau so gut als Zeichen einer gewissen Debilität der Führung interpretieren.

    Wer einen solchen Quatsch auch nur annähernd glaubt, schmeißt auch Lampen an die Decke, statt sie zu montieren, denn kurzzeitig bleiben sie ja oben.

    Antworten
  10. Es ist schon interessant, wie manche Leute esowatch Unwissenschaftlichkeit vorwerfen während sie ernsthaft Sachen behaupten die mit keiner wissenschaftlichen Erkenntnis über den menschlichen Stoffwechsel der letzten 200 Jahre auch nur ansatzweise in Einklang zu bringen sind…

    Antworten
  11. Noch was: Der gute Yogi müsste sich doch mit einem MRT relativ einfach widerlegen lassen, wenn er seit 60 Jahren keine Nahrung zu sich genommen hätte müsste sein Magen doch total verkümmert sein, ähnlich wie bei Magersüchtigen, oder nicht? Auch wenn ihm sicher wieder ne tolle Begründung dafür einfallen würde ^^

    Antworten
  12. Das erinnert mich an Nethack. Wenn man als Moench spielt, kann man als zusaetzliche Herausforderung versuchen, dass Spiel komplett ohne Nahrungsaufnahme zu meistern. Muss man halt regelmaessig zu seinem Gott beten. Wenn der nicht grade erzuerrnt ist, klappt das auch.
    Wusste gar nicht, wie realistisch dieses Spiel ist!

    Antworten
  13. Vielleicht nochmal in aller Gelassenheit zur Klarstellung: 4 oder 5 Tage ohne Wasser sind überlebbar. Der „Weltrekord“ liegt bei 18 Tagen. Die Komapatientin Terri Schiavo, der durch Gerichtsbeschluss Wasser und Nahrung entzogen wurden, starb nach 13 Tagen durch Verdursten.

    In der Harnblase bildete sich Urin, der, nachdem man dies Jani mitteilte verschwand. Im Artikel schrieb ich bereits, dass Jani sich oft mit dem Rücken zur Videokamera drehte. Die Videos sind bei YT zu sehen. Denkbar und naheliegend dass er heimlich sein Urin (etwa 0,1 L) trank. Im Darm wurde im MRT festgestellt, dass sich dort Kot befand, sowie Darmgase. Die MRT-Bilder sind im Internet online.

    Über eine „Kollaboration“ wissen wir naturgemäss nichts. Sämtliche Untersuchungen wurden vom gleichen Team durchgeführt, das – wie Jani – dem Jainismus nahesteht.

    Antworten
  14. @Bad Robot

    Bad Robot :
    Aha, das Militär interessiert sich dafür…dann muß an der Sache was dran sein…Verschwörung allerorts…

    Wieso Verschwörung? In der BBC war ja ein Militärsprecher zu sehen, der das erklärt hat, völlig öffentlich. Und, ja, selbstverständlich gibt das der Sache mehr Gewicht, was denn sonst? Mir ist zwar bewusst, dass Militärs gelegentlich auch Unsummen für Unrealistisches verballern (siehe SDI etc), aber prinzipiell denke ich schon, dass ihr Hauptinteresse die Erhöhung der Verteidigungsfähigkeit gegenüber dem potentiellen Gegner ist und dass es ihnen damit ernst ist.

    Dass manche Menschen Tage ohne Flüssigkeit überleben _können_ ist bekannt, nur: In was für einer Verfassung ist man dann? Sicher nicht in der in der Jani präsentiert wurde, und das war lt BBC 106 Stunden, nachdem er aufgenommen wurde.

    Ich würde einfach mal abwarten, ob und was man von der Geschichte noch hört. Ausgemacht ist die Sache noch nicht.

    Antworten
  15. Nun, der Mann war meist in wärmende Decken gehüllt (das spart Energie) und war ansonsten auch nicht körperlich groß aktiv. Zusammen mit seinem geringen Körpergewicht (dessen zeitliche Entwicklung erstaunlicherweise von den Untersuchern geheim gehalten wird), aber bei einer Körpergröße von 150 cm und der BMI-Angabe 16,89 zurückgerechnet 38 Kilo betrug (zu einem unbekannten Zeitpunkt), und zusammen mit der geringen körperlichen Aktivität sowie einer angenommenen dauerhaften Minimal-Ernährung gerät er in einen chronischen Zustand der Hungeradaptation. Das heisst: unsere „westlichen“ Tabellenwerte zum Mindestumsatz eines bettlägerigen Erwachsenen gelten hier nicht. Solche Typen gibt es bei uns einfach nicht. Allenfalls können wir ihn mit dem in der Berliner U-Bahn häufig auftauchenden „Stephan – das U-Bahn-Gespenst“ vergleichen, den manche hier vielleicht kennen von seinen Betteleien und verteilten Texten. Aber auch Stephan isst, es gibt dazu einen Fernsehbericht vom WDR (Hungrig auf Leben – Stephan, der U-Bahn-Poet. Ein Film von Claudia Puzik und Fabian Sabo WDR Fernsehen 2005). Was ich damit sagen will: solche Menschen benötigen natürlich chemisch gebundene Energie, aber eben erstaunlich wenig. Wenn sie jedoch eine Zeitlang überhaupt nichts essen, dann passiert genau das, was in den obigen Blutparametern abzulesen ist und was in den Lehrbüchern zu lesen ist. In einer bestimmten Reihenfolge (bzw parallel) werden bestimmte Energieträger des Körpers verstoffwechselt – bis irgendwann mal nach Wochen Schluss ist. Die Folgen sind genau die die man oben in den Messwerten vorfindet. Und der Wassermangel führt auch zu den oben „schön“ zu sehenden Veränderungen (Erhöhung Hämatokrit usw).

    Angenommen, dieser Herr würde sich tatsächlich von einer bislang unbekannten Energie auf Dauer ernähren, wie sähen seine Blutparameter aus ? Sie würden (von gewissen circadianen Tagesschwankungen und üblichen Schwankungen abgesehen) auf Dauer um einen individuellen Dauerwert herum schwanken. Aber sie würden sicht nicht so eindeutig verhalten wie oben abgebildet. Das zeigt auch die ganz ähnliche Untersuchung bei dem Herrn Michael Werner (siehe https://www.psiram.com/de/index.php?title=Michael_Werner). Auch hier bei Werner zeigten sich die Veränderungen des Hungerstoffwechsels. Einziger Unterschied war, dass die damaligen anthroposophischen Ärzte und Untersucher zum richtigen Schluss kamen und dies unverblümt kundtaten. Diese indischen Untersucher hingegen ignorieren die selbst erhobenen Befunde zu Gunsten von esoterischen Hypothesen.

    Zitat: Ich würde einfach mal abwarten, ob und was man von der Geschichte noch hört. Ausgemacht ist die Sache noch nicht.

    Ja sicher. Falls wir an die Befunde gelangen sollten, die in ein-zwei Monaten herauskommen sollen (und auch hoffentlich diesmal seriös veröffentlicht werden und nicht wie bei Jani 2003 auf privaten Webseiten mühsam zu suchen sind), werden wir die uns genau ansehen. Vielleicht präsentieren wir die dann auch einem anerkannten Experten zur Kommentierung.

    Antworten
  16. Deceptor schrieb:
    „Angenommen, dieser Herr würde sich tatsächlich von einer bislang unbekannten Energie auf Dauer ernähren, wie sähen seine Blutparameter aus ? Sie würden (von gewissen circadianen Tagesschwankungen und üblichen Schwankungen abgesehen) auf Dauer um einen individuellen Dauerwert herum schwanken. Aber sie würden sicht nicht so eindeutig verhalten wie oben abgebildet.“

    Besser kann man das gar nicht formulieren. Sieht nicht so aus, als würde diesem Typen Nektar und Ambrosia durch ein Loch im Gaumen in den Schlund rinnen. Denn das behauptet er ja scheinbar.

    Antworten
  17. Liebe Esowatcher, ihr habt offensichtliche und deutliche Prämissen, das ist nicht wirklich unvoreingeommen wissenschaftliche Betrachtungsweise. Nehmen wir mal an, das Experiment wird wirklich sauber durchgeführt und es kämen dennoch die beobachteten Werte heraus dann müsstet ihr eigentlich – und das wäre wissenschaftlich – eure Hypothese verwerfen und eine Alternativhypothese annehmen. Ich kann auf dieser Seite nur einen Glaubenskrieg zwischen „Gläubigen“ und „Ungläubigen“ (die aber scheinbar an etwas anderes Glauben, das aber auch nicht überprüft werden muss – nämlich „die Wahrheit“) beobachten.

    Antworten
  18. @Drusus:
    Na, was ist denn unvoreingenommene wissenschaftlich Betrachtungsweise? Jeden Bockmist erst mal für möglich halten oder darf getrost davon ausgegangen werden, elementaren Naturgesetzen widersprechende Behauptungen sind Bockmist?

    Antworten
  19. @Gelmir
    Diese Aussagen sind nicht dein Ernst, oder? Leider sollte tatsächlich auch „Bockmist“ für möglich gehalten werden – ansonsten kann man auch wieder den Leiterwagen der Inquisition aufzäumen. Ich hoffe wirklich, dass das nicht der Masstab eures Handelns ist sonst würdet ihr für mich in Zukunft als Erkenntnisquelle ausscheiden. „Beweisen was zu beweisen war“ ist keine Wissenschaft, sondern gehört in den Bereich des Glaubens.

    Antworten
  20. Drusus ! Eines der wichtigsten Prinzipien ist das Prinzip der Hypothesensparsamkeit, man könnte auch sagen: das Prinzip des Ockhamschen Rasiermessers (https://www.psiram.com/de/index.php?title=Ockhams_Rasiermesser). Hier schliesst niemand die (äussert unwahrscheinliche) Möglichkeit aus, dass bislang alle Biologen und Biochemikers sich geirrt haben. Genau wie das Hypothesensparsamkeitsprinzip gilt natürlich auch die Ergebnissoffenheit von Experimenten. Bei den veröffentlichten (wenigen) Daten zu den Experimenten an Werner und Jani (2003) sieht man jeweils, dass herkömmliche, etablierte, und von allen Experten unwidersprochene bioenergetische Grundannahmen auch hier gültig waren. Anders herum gesagt: es handelt sich keineswegs um medizinische Wunder. Es handelt sich um Hungerversuche, und guckt man sich die Messwerte an, drängt sich zudem der naheliegende Verdacht der Täuschung auf.

    Auf nicht wissenschaftlich erklärbare Zustände warten wir noch. Führt jemand etwa die Ratan Manek an, kann man auf den heimlichen Restaurantbesuch verweisen. Wer einmal lügt – dem glaubt man eben nicht weiter. Leute die an diese Licht- und Sonnennahrung glauben sollen bitte ein richtig knackiges Experiment vorweisen, dann kann man darüber diskutieren.

    Antworten
  21. Die „Hypothesensparsamkeit“ sollte einen aber nicht zu „Bockmist Vorannahmen“ hinreissen lassen.
    Aber nehmen wir einmal an es gäbe doch eine wirklich lückenlose Überwachung des Yogis (und es geht ja um den hier und nicht um irgendwelche anderen Fälle!) und trotzdem gäbe es die Ergebnisse wie beim letzten Experiment, die auf Nahrungsaufnahme hinweisen. Ihr würdet dann vermutlich einfach weiter „Betrug“ schreien (auch legitim), ein wirklich unvoreingenommener Wissenschaftler würde an dieser Stelle (natürlich auch den Aufbau des Experiments prüfen) aber eventuell beginnen die Alternativhypothesen zu prüfen (z.B. „er ernährt sich durch eine Flüssigkeit die aus seinem Gaumen kommt“ 🙂 )

    Antworten
  22. @Drusus
    Nein, das denke ich nicht,
    Aber: Zuerst einmal müßte es einen Nachweis geben, dann kann man über berechtigtes oder nicht berechtigtes Zweifeln diskutieren.
    Was wäre wenn ist eher zwecklos und reine Spekulation.

    Antworten
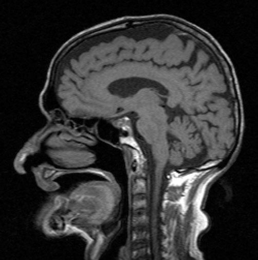
  23. Welches Loch in seinem Gaumen bitte ? Das ist doch nun kinderleicht festzustellen, das kann jeder Anfänger in HNO, sogar Medizinstudenten nach dem Anatomiekurs. Es ist aber noch besser: es liegen nämlich im Internet offen die MRT-Bilder von Jani vor. Sieht man die sich an, so zeigt sich, dass sowohl der harte Gaumen, Boden der Nasenhöhle wie auch die Uvula völlig intakt sind. Ich habe Esowatch den Link genannt, vielleicht laden die das MRT-Bild noch hoch, dann kann jeder nach Löchern suchen.

    Im Rahmen des umgekehrten Ockhamschen Rasiermessers (https://www.psiram.com/de/index.php?title=Umgekehrtes_Ockhamsches_Rasiermesser) muss der Loch-Hypothese nun noch eine weitere Hypothese vorgeschaltet werden, die der Wissenschaft unbekannt ist, nämlich die des sich temporär geheimnisvoll öffnenden „Gaumenlochs“.

    Natürlich ist es völlig legitim die Hypothese nicht auszuschliessen, dass dieser gute Mann (dessen Bettelergebnisse wohl auch von der Popularität seiner angeblichen Nahrungslosigkeit abhängen), seinem Mythos etwas „nachhilft“. Sein Heiligenstatus wird da auch nützlich sein. Welcher Arzt als Jainismus-Anhänger will einen Heiligen aus seiner religion blossstellen ? Das beste wäre eine Untersuchung durch Leute die sich mit Bühnentricks auskennen wie James Randi, begleitet von neutralen Ärzten die die gesundheitliche Gefährdung erkennen können und daten interpretieren können.

    Antworten
  24. @Drusus:
    Natürlich ist das mein Ernst. Bockmist ist z.Bsp. Homöopathie, da gibt es nichts zu deuteln, denn diese widerspricht elementaren Naturgesetzen. Kein Wissenschaftler wird sich damit auseinandersetzen, solange nicht von Seiten der Homöopathen ernsthafte Belege kommen – nur darauf werden wir bis zum SanktNimmerleinstag warten können.
    Gar nicht eingegangen bist Du leider auf meine Frage, was denn eine „unvoreingenommene wissenschaftlich Betrachtungsweise“ sein soll.

    Antworten
  25. @Drusus

    Solche Untersuchungen wuerde ich primaer nicht Wissenschaftler sondern Illusionisten, aka Zaubern, ueberlassen. Die wissen beruflich, wie man einem Publikum ein X fuer ein U vormacht. Diese sind sehr viel besser geeignet Schmuh zu entdecken als Wissenschaftler.

    Antworten
  26. Alles klar meine Herrschaften. Ihr seid keine Wissenschaftler sondern Gläubige. Euch treibt nicht die Neugier an sondern ihr verteidigt die „ewige und unverrückbare Wahrheit“.
    Ich persönlcih bin enttäuscht – denn offensichtlich seid ihr keine Bundesgenossen im Kampf gegen das Irrationale sondern in eurem unverhohlenem Fanatismus („Bockmist“, „Betrügerschwein“ usw.) seid nur ganz offensichtlich vom gleichen Schlage und man muss sich vor euch hüten.

    Eure Frage nach der Bedeutung der “unvoreingenommenen wissenschaftlich Betrachtungsweise” entlarvt euch. Ich befürchte aber, dass ich euch das nicht erklären kann bzw. das es euch offensichtlich um etwas anderes geht.

    Antworten
  27. Drusus :
    Alles klar meine Herrschaften. Ihr seid keine Wissenschaftler sondern Gläubige. Euch treibt nicht die Neugier an sondern ihr verteidigt die “ewige und unverrückbare Wahrheit”.
    Ich persönlcih bin enttäuscht – denn offensichtlich seid ihr keine Bundesgenossen im Kampf gegen das Irrationale sondern in eurem unverhohlenem Fanatismus (“Bockmist”, “Betrügerschwein” usw.) seid nur ganz offensichtlich vom gleichen Schlage und man muss sich vor euch hüten.
    Eure Frage nach der Bedeutung der “unvoreingenommenen wissenschaftlich Betrachtungsweise” entlarvt euch. Ich befürchte aber, dass ich euch das nicht erklären kann bzw. das es euch offensichtlich um etwas anderes geht.

    Nun, Wissenschaft kennt tatsachlich keine „ewige und unverrückbare Wahrheit“, was sie aber kennt sind Erkenntnisse, die durch wiederholte empirische Beobachtung soweit erhaertet wurden, dass sie mit nahezu absoluter Wahrscheinlichkeit als richtig und wahr anerkannt werden muessen.

    Wissenschaft wuerde erkennen, z.B. dass jemand ohne Nahrung leben koennte, wenn es denn bewiesen wuerde. Das hiesse aber, dass diese neue empirische Erkenntnis sehr stark untermauert waere, um die bestehende Erkenntnis (vulgo: „Mensch muss freessen“) zu wiederlegen.

    Das ist im Falle dieses Menschen noch nicht passiert.

    Antworten
  28. @Rheinlaende
    Verfeinerte Methoden und besser Messinstrumenten können auch potentiell „erhärtete“ Erkenntnisse jederzeit falsifizieren – es gab und gibt in fast jeder Wissenschaftsdisziplin solche „Revolutionen“ und euer Postulat der mit „absoluten Wahrscheinlichkeit als richtig anerkannten Wahrheit“ ist zwar pragmatisch aber eben NICHT der Weisheit letzter Schluss – zumindest rein formal wissenschaftstheoretisch betrachtet.

    …und „beweisen“ kannst du gar nichts – hat den von euch keiner seinen Popper gelesen?

    Aber nochmal zurück zum konkreten:
    Selbst wenn der Versuch mit dem Yogi – egal wie unwahrscheinlich das tatsächlich ist – bei absolut korrekter Durchführung ein erstaunliches Ergebnis erbringen würde: ihr würdet es anzweifeln („Betrüger“, „der durchführende ist doch selber Yogi“, „Kann nicht sein!“, „Darf nicht sein“)
    Und deshalb seid ihr für mich unseriös und keine Quelle wirklich rationaler Erkenntnis.

    Antworten
  29. @Drusus

    Zunaechst: Die Idee stammt nicht orginell von Sir Karl Popper, sondern von David Hume.

    Nauerlic gibt keine „letzten Wahrheiten“ in der Wissenschaft, jedoch Erkenntnisse mit „nahezu absoluter Wahrscheinlichkeit“ (mich selber zitierend). Die Hauptsaetze der Termodynamik gehoeren dazu: Ohne ihre absolute Richtigkeit wuerde jede empirische Beobachtung der letzten 400 Jahre unsinnig werden.

    Wenn also jemand wie dieser Yogi in letzter Instanz behauptet, diese aufheben zu koennen, muss er sich schon gefallen lassen, dass man nach einem kurzen Ueberschlag der Wahrscheinlichkeit dieser Aussage ihn einen Betrueger nennt: Schliesslich triggern auch keine Kaffeetassen durch Tische.

    Antworten
  30. @Drusus
    Das ist doch schlicht stuss, sorry.
    Wenn der Versuch wie oben schon beschrieben neutral durchgeführt werden würde, könnte man sich nach dem Ergebnis in Ruhe weiter unterhalten. In diesem Fall kann das Ergebnis aber eben nicht ergebnisoffen sein, daher lohnt es sich auch nicht über das Ergebis dieser Testreihe auseinander zu setzen.
    Wissenschaft bedeutet eben auch, dass man so lange zweifeln darf, bis einem vernünftige Daten auf den Tisch gelegt werden.

    Antworten
  31. @Rheinlande: man liest im Rahmen einer soliden wissenschaftlichen Ausbildung üblicherweise die Werke von Popper zu diesem Thema und nicht die von Hume – aber schön – du weisst also doch von was ich rede oder hast zumindest das Stichwort in der Wikipedia gefunden. 🙂

    Ich denke ich habe alles gesagt.
    Ihr seid nicht unvoreingenommen und das finde ich eben unseriös. Ihr seid auch nicht neugierig, und das finde ich traurig.
    Es geht im vorliegenden Fall/Experiment ja auch nicht primär darum die Gesetze der Thermodynamik zu widerlegen (aber das ist eben für euch eines der „heiligen Bücher“ das nicht geschändet werden darf, andere haben da die „Jungfräulichkeit Maria“ und ähnliches im Programm)
    sondern um ein konkretes Experiment von dem ich mir wünschen würde, dass es sorgfältig durchgeführt und ausgewertet wird um zu einer sachlichen Meinung gelangen zu können.

    Aber weder die fanatischen Gläubigen (Esoteriker) noch die fanatischen Ungläubigen (Ihr) können mir da offensichtlich weiterhelfen und letztlich ist es auch austauschbar wer auf welcher Seite eifert.
    Diese unvoreingenommene Neugier ist natürlich eine Herausforderung. Menschen neigen dazu sich lieber einem Mob anzuschliessen und herumzuwüten. Das scheint nach vielen tausend Jahren Menscheitsgeschichte ja auch tatsächlich einigermassen nachweisbar bzw. wer es darauf anlegt kann es schnell zur eigenen Erfahrung werden lassen.

    Ich akzeptiere euch nicht als Bastion der Ratio.

    Antworten
  32. @Drusus

    Das liegt wohl daran, dass Sir Karl Popper etwas juengeren Datums ist, derjenige, der dies jedoch gruendlicher durchdachte war David Hume.

    Er hat Deine Bemerkungen in seiner „An enquiry concerning human understandig“ in Sec. 5 „Sceptical Solutions of these Doubts“ schon wiederlegt. Wenn Dein Englisch leidlich ist, empfehle ich die Oxford University Press Textausgabe (die rund £20.00 sind gut angelegt). Eine aehnliche Argumentation wurde von Voltaire in seinem Philosophischen Woerterbuch vereinfacht und popularisiert.

    Die Diskussion war schon lange vor Sir Karl abgeschlossen.

    Zum Fall selber:

    Ein System, aka Organismus, der staendig Energie abgibt (alleine die Aufrechterhaltung der Koerpertemperatur), der keine Energie zu sich nimmt (Futter) muss irgentwann seine energiereserven verbraucht haben (verhungern). Das ist eine klare Schlussfolgerung aus dem 1. Hauptsatz der Termodynamik.

    Wenn dieser Yogi nun behaupt seit zig Jahren ohne Nahrung auszukommen, dann ist das Bruch des 1. hauptsatzes der Termodynamik.

    Zur „‚Jungfrau‘ Maria“:

    Deren Jungfrauenschaft bei der Geburts Jesu wurde nie bewiesen und die Annahme, dass dies schlicht ein Mythos ist ist keinem Widerspruch zu irgentwelchen empirischen Beobachtungen: Ganz im Gegenteil.

    Die Annahme, dass die Hauptsaetze der Termodynamik keine absolute Geltung haben, wuerde allen empirischen Beobachtungen widersprechen.

    Antworten
  33. Hallo Drusus: ob wir jeder die wir hier schreiben Wissenschaftler sind oder normale Internetonauten ist irrelevant. Es gibt keinen Typus homo esowatchi. Was wir machen ist lediglich das Zusammensuchen von Informationen mit Quellenangabe, wir erlauben uns darüberhinaus diese Informationen einerseits mit Aussagen der Esoszene und andererseits mit Aussagen (bzw Konsensen) etablierter Wissenschaften entgegen zu stellen.
    Sowohl die Neugier als auch die Skepsis sind bei uns Antriebsfedern, das gleiche findet man im Wissenschaftsbereich auch. Dazu kommt die Selbstkritikfähigkeit (siehe dazu unseren errata-Artikel im Wiki). Unsere Neugierde führt beispielsweise dazu, dass zu manchen Themen in Esowatch-Artikeln das umfangreichste Material zusammengetragen wurde, das es im deutschprachigen Internet zum Thema gibt. Dabei haben wir uns natürlich hauptsächlich auf falsifizierbare Aussagen beschränkt.

    Begriffe wie „Betrügerschwein“ wird man von mir nicht hören. Leute die als vermeintliche Nichtesser dokumentiert heimlich essen, wird man in Hinsicht auf ihre Anhängerschaft aber wohl Betrüger nennen können, gerade weil es auch ums Geld geht. Was soll bei einer “unvoreingenommenen wissenschaftlichen Betrachtungsweise” denn bei dem 2003 Mataji/Jani Experiment herausgekommen sein? Nichts. Die von privaten Homepages berichteten Blutparameter dieses Herrn sprechen von einer zunehmenden Austrocknung und einem Hungerstoffwechsel. Was soll daran spektakulär sein ?

    Rheinlaender hat völlig recht: Wahrheit gibt es nicht. Das ist einer der häufigsten Begriffe aus der Truther-Szene und entlarvt diese als eine Art Kreuzzügler in Schen ihrer eigenen persönlichen Wahrheit. Truthersprach eben. Es gibt den negativen Beweis, nicht den positiven Beweis. Hatten wir hier schon mal ausführlich durchgekaut. Und Hypothesen sind gebongt, sind eben Hypothesen.

    Deine „Beweisführung“, dass wir in einem hypothetischen Falle eines zukünftigen unwahrscheinlichen Experimentergebnisses Deiner geschätzten Hypothese nach zukünftig dies zwingend anzweifeln würden, ist extrem schwach – geradezu hilfloses Zurückrudern.

    Lieber mal regelmässig tief durchatmen. Siehste, jetzt gehts schon wieder.

    Ich lasse mich gerne einen „Ungläubigen“ nennen (das fanatische streiche ich dann aber), wenn es um Behauptungen wie eine unbefleckte Empfängnis oder Energie aus dem nichts geht. Einfach desshalb, weil es nie beobachtet wurde und/oder naheliegende Erklärungen hypothesensparsamer zur Hand sind. Falls das mal geschehen sollte, können wird das aber gerne ins Auge fassen es eingehender zu erörtern.

    Antworten
  34. @Rheinlaender
    Was soll das nun für mich bedeuten, dass Hume mich deiner Meinung nach “ widerlegt hat?
    Soll ich aufhören zu denken und mich zu wundern? Steht das im Buche des Propheten?
    Hat er mich überhaupt widerlegt – und was meinst du was er genau widerlegt hat?
    ich glaube nicht, dass Hume mit euch gut ausgekommen wäre 🙂

    Und leider nein, ich bin nicht „widerlegt“ und bleibe dabei: Wenn das Yogi Experiment durchgeführt wird und die Durchführung sauber ist – und es keine Anzeichen für Betrug gibt muss man sich unvoreingenommen mit den Ergebnissen beschäftigen. Mehr habe ich nicht gefordert? Wo „widerlegt“ mich da Hume?

    Und nein, wenn der Yogi ohne Nahrung auskommt bedeutet das nicht zwangsläufig einen Bruch des 1. Hauptsatzes der Thermodynamik – das wäre eine etwas verwegene und weitreichende Schlussfolgerung, was? (Du bist kein Wissenschaftler, oder?)
    Denn selbst wenn man weiss, dass er nichts sichtbar aufnimmt ,weiss man ja noch nicht was er aufnimmt – wenn er denn wirklich nichts aufnehmen würde und das Experiment sauber durchgefüht würde.

    Aber so muss man wohl leider vorgehen um nirgends hinzudenken wo man ja nicht hindenken darf. Immer etwas vorgreifen und das Paradigma verteidigen – selbst wenn es gar nicht in Gefahr ist.

    Ich bleibe dabei – ihr denkt nicht wissenschaftlich, dazu fehlt euch die Neugier. Ihr versucht zu beweisen was in euer Weltbild passt.

    Antworten
  35. Ich bleibe dabei – ihr denkt nicht wissenschaftlich, dazu fehlt euch die Neugier. Ihr versucht zu beweisen was in euer Weltbild passt.

    Dummes Zeug. Da nicht ich etwas beweisen muss, sondern das „Betrügerschwein“. Ist der 10.000 Fall, bei dem die Vorhersagen der Relativitätstheorie eingetroffen sind, weniger wert als die Behauptung von Knalldeppen, es könne ja auch alles ganz anders sein?
    Was gestern noch akzeptiert wurde, gilt heute nicht mehr, weil ein Crank beliebt zu zweifeln?
    Nein, soviel Selbstbewusstsein darf die Wissenschaft haben, ewig beleglose Zweifler und begriffsstuzige Nörgler als Cranks und – falls juristisch gerechtfertigt – als Betrügerschweine, denen das Hirn vor lauter Offenheit rausfällt, zu bezeichnen.

    Ich dachte immer, bei den Esos sei überliefertes Wissen so hoch im Kurs. Warum denn hier auf einmal nicht? Ach so, ad personam! Wenn’s vom Guru kommt, glauben. Wenn’s von der Wissenschaft kommt, anzweifeln. Ja, da hat der Tag Struktur.

    Antworten
  36. @aldiman
    Naja…du zählst jedenfalls eher zu den Eiferern. „Gebt mir ein Thema und ich ziehe in den Kreuzzug“.
    Der Yogi muss gar nichts beweisen – warum auch? Aber wenn es jemanden interessiert ob das funktioniert kann er es durchaus erforschen und das wird ja offensichtlich gemacht.
    Aber quäle dich nicht mit den Feinheiten meiner Einwendungen – denn DIR reicht ja die Gewissheit das der rechte Weg dich leitet.
    Und äh ja, ein einziges Experiment das solide durchgeführt die Relativitätstheorie widerlegt wäre tatsächlich eine ganze Menge wert (siehe Popper).

    Antworten
  37. @Drusus
    Da Drusus nun nur noch ein dussliges ad hominem zu bieten hatte, können wir wohl festhalten, dass er dies für richtig hält:
    1. 10.000 Fälle, bei dem die Vorhersagen der Relativitätstheorie eingetroffen sind, sind in Drusus Welt weniger wert als die Behauptung von Knalldeppen, es könne ja auch alles ganz anders sein.
    2. Was gestern noch akzeptiert wurde, gilt heute in Drusus Welt nicht mehr, wenn ein Crank beliebt zu zweifeln.

    Immer schön weiter an der Homöopathie forschen, Bub!

    Antworten
  38. @aldiman
    Du bist ein Eiferer – das konnte ich zumindest noch nicht falsifizieren 🙂
    (und vor deinesgleichen mussten sich neugierige Menschen schon immer hüten)

    zu 1.
    Nein, es geht nicht um Behauptungen sondern um experimentelle Beweise. Für Behauptungen seid ihr und die anderen Gläubigen zuständig. Wir anderen versuchen uns an Fakten zu halten und da würde sogar die Relativitätstheorie auf den Prüfstand befördert wenn sie falsifiziert werden könnte.

    zu 2.
    Siehe Punkt 1. Du bist ein Demagoge und potentiell gefährlich für jeden intelligenten Menschen. Rudelverhalten und Drohgebärden sind schon immer der Feind der Wissenschaft gewesen.

    Antworten
  39. Und wer Drusus ausmanövriert und zeigt, dass seine Argumente nichts taugen, ist ein Demagoge und bekommt Drohgebärden vorgeworfen. Been there, done that.

    Komisch, was? Kaum macht man mal ein bißchen Druck, sind die vorgeblichen Freunde der Wissenschaft auf einmal gar nicht mehr so freundlich! Tz, tz, tz.

    Dass Wissenschaft für wohlbegründete Ideen, die nicht vor Ignoranz triefen, offen sein muss, ist übrigens unstrittig. Daraus dürfen aber Spinner keine Rechte für sich und Pflichten für die Wissenschaft ableiten.
    Um wieder auf unseren Hungerkünstler zurückzukommen: Wenn man mir mal vorrechnen würde, wie hoch der Energiebedarf des Herrn (kJ/d) ist und wie er ihn deckt, würde ich den Ignoranzvorwurf zurücknehmen. Doch bevor Wundergläubige auf wissenschaftlicher Basis argumentieren und ihre Beweislast akzeptieren, kippt die Thermodynamik der Hölle.

    Antworten
  40. Das MRT-Bild von Mataji (Prahlad Jani) ist jetzt hochgeladen worden:

    https://www.psiram.com/de/images/7/76/MRT-Mataji.jpg

    Es gibt ansonsten nur noch drei weitere Bilder vom seinem Schädel im Internet. Es sind drei horizontale Schnitte, die unauffällig sind und wohl gemacht wurden um im Falle von Komplikationen zu Vergleichszwecken zur Verfügung zu stehen.

    Das Bild hier zeigt keinerlei Öffnung im harten oder dahinterliegenden weichen Gaumen. Allerdings zeigt das Bild nur die Medianebene, das heisst (je nach gewählter Schichtdicke) wäre es theoretisch möglich dass sich rechts oder links seitlich noch ein Loch verbirgt. Da die Untersucher behaupten, er hätte ein „Loch im Gaumen“ bleibt unverständlich warum sie nicht die Schicht zeigen, die das Loch zeigen.

    Antworten
  41. @aldiman
    Meine Argumente taugen also nichts? Welche denn genau? Hast du sie überhaupt gelesen? Dieser „Popper“ ist übrigens nicht das Zeug das du dir am Wochenende immer in die Nase ziehst und auch nicht das was man sich da rausziehen kann 😉

    Antworten
  42. Komm schon, Drusus, auf zur nächsten Runde der Selbstdemontage! Zeig mir, wie das geht, mit den Smilies. Und mit den Beleidigungen. Stöckchen! Hopp!

    Antworten
  43. Da von Dir, Drusus, auch wieder das beliebte „kann nicht sein, was nicht sein darf?“ zitiert wurde, hier wiederum ein Zitat aus dem Artikel selbst:

    „Menschliche Gesetze beginnen mit du “Du darfst nicht…”,
    Naturgesetze beginnen mit “Du kannst nicht…”.“

    Es geht hier nicht darum, dass sich Mensche, die mit Skepsis auf die Angelegenheit blicken, entgegen aller Evidenzen an ein „nein, nein, das soll so nicht sein, weils mein Weltbild erschüttert!“ klammern, sondern darum, dass die Naturgesetze schlich dagegen sprechen. WENN nach gut dokumentierten wissenschaftlichen Standards geforscht werden würde UND herauskäme, dass der Yogi tatsächlich nahrungslos vor sich hinlebt, wäre der Großteil von uns wohl enorm beeindruckt und fasziniert. Naturgesetze müssten abgeändert, große Teile der Naturwissenschaft revidiert werden. Es würde – bevor jetzt wieder das „oh, daher wird so ein Ergebnis bestimmt unterdrückt!“-Argument kommt – einen enormen potentiellen Nutzen für unheimlich viele Bereiche bringen und daher mit Kusshand aufgenommen werden.

    Leider scheitert der Versuch schon daran, dass eben keine standardisierten Versuchsbedingungen herrschen. Der VL ist höchstwahrscheinlich voreingenommen, die lückenlose Kontrolle der Versuchsperson nicht gegeben. Insofern ist mit den Ergebnissen einer solchen Untersuchung niemandem gedient, da, gerade bei einem solchen potentiell naturgesetzumwerfenden Ereignis höchste Standards bedient werden müssten. Zudem deuten die Untersuchungsergebnisse bisher auf einen sehr weltlichen Prozess hin. Kurz: Alle Fakten sprechen allein jetzt schon gegen das propagierte Wunder.

    Das hat nichts mit mangelnder Neugierde zu tun oder eigenem Dogmatismus sondern mit der Kenntnis über wissenschaftliche Qualitätsstandards.

    Antworten
  44. @Sarah-Li
    Danke, dass du die Diskussion wieder aus dem Primatenniveau heraushebst (ich denke ich lasse aldiman jetzt mal in Ruhe an seinem Stöckchen nagen – mal sehen ob er es durchält)

    Ich wollte ja lediglich meine Bedenken ausdrücken, dass einige von euch (ich denke diejenigen haben sich auch deutlich „Selbstdemontiert“ 🙂 ) einfach aus einem Reflex heraus „Betrug“ rufen und ich das nicht seriös finde – und dass Interpretationen der Ergebnisse eben auch davon abhängen können, wie sorgfältig das Experiment durchgeführt wurde usw. und dass bei einer sorgfältigen Durchführung die Ergebnisse die nun als deutlicher Hinweis für einen Betrug gewertet werden eben anders bewertet werden können – unvoreingenommener – das war mein Punkt.

    Aber interessant, dass ich mit diesen Einwänden für einige sofort in die Esoecke gerutscht bin – und mir unterstellt wurde ich würde die Relativitätstheorie usw. anzweifeln. Das sind – finde ich nach wie vor – gefährliche Automatismen. Aber zum Glück haben die meisten die hier rumpöbeln ja nur im Internet die dicke Hose an – achtung smiley 🙂

    Antworten
  45. „einfach aus einem Reflex heraus “Betrug” rufen und ich das nicht seriös finde“

    Nunja, wenn es schon x Leute gab, die Nahrungslosigkeit behauptet haben und xmal in irgendeiner Form Betrug aufflog, ist es ziemlich wahrscheinlich, dass auch im x+1 Fall wieder nichts gescheites bei herumkommt. Zudem muss man auch den Kontext sehen, in den das Ganze eingebettet ist – es ist ein Umfeld gegeben, dass von vorneherein wohlwollend eingestellt ist (statt neutral), bestimmte Informationen wie zB der Gewichtsverlauf werden vorenthalten und Möglichkeiten der Entziehung von der Kontrolle sind gegeben. Es wird sich nicht auf die Fakten, auf die es ankommt fokussiert, selbst wenn ähnliche Untersuchungen durchgeführt werden – wie zB die Suche nach dem ominösen Gaumenloch, bei der zwar Bilder vorhanden sind, diese es aber nicht darauf anzulegen scheinen, das Phänomen zu falsi- oder verifizieren.
    Alles deutet also bereits schon vor Abschluss darauf hin, dass Ergebnisse nicht unverfälscht sein werden. Da man nun, nach der Erfahrung der letzten Fälle, davon ausgehen kann, dass auch hier wieder entgegen aller Fakten eine positive oder relativierende Erklärung seitens der VL gefunden wird (DAS ist eigentlich der einzig spekulative Teil daran, denn es könnte ja theoretisch auch sein, dass gesagt wird „nee, Jugens, sorry, da is tatsächlich nix!“), ist man halt schnell darin, die Einstufung als Betrug vorwegzunehmen, selbst wenn der Betrug noch gar nicht stattgefunden hat (denn momentan ist es ja „erstmal nur“ die Untersuchung, so fehlerbehaftet sie sein mag – zum Betrug wirds erst dann, wenn aus den Ergebnissen etwas widersprüchliches abgeleitet wird und eine Standardisierung proklamiert wird, die so nicht gegeben war).

    Insofern: Unvoreingenommenheit ja – aber auch nur bis zu dem Punkt, an dem man feststellt, dass die Untersuchungen es eben selbst nicht sind und hier deutet eben einiges drauf hin.

    Antworten
  46. Woher leitet ihr denn die Sicherheit ab, dass die Untersuchung voreingenommen ist und die VL „Pro“ sind und gar nicht an einer objektiven Erkenntnis interessiert?
    Reicht da schon die Tatsache, dass sie es überhaupt untersuchen um sie zu diskreditieren oder gibt es dafür irgendwelche Belege?
    Ein schlecht geplantes Versuchsdesign wäre meiner Meinung nach jedenfalls noch kein hinreichender Beleg dafür, dass das Untersuchungsteam nicht an objektiven Ergebnissen interessiert ist – sowas gibt es hierzulande und quer durch alle Fachbereiche auch 🙂

    Antworten
  47. Ich weiß, dass der Beitrag etwas am Thema vorbeischrammt, aber ich wollte das Grundproblem der Diskussion aus meiner Sicht darstellen. Des so wie es sich jetzt abzeichnet ist es eine Endlosdiskussion.

    Der Vorteil von Unlogik, ist dass sie nicht an Wahrheit gebunden ist und dadurch jede beliebige Form annehmen kann. Dadurch es ist immer möglich aus Unlogik etwas zu machen was logisch klingt. Die Wahrheit kennt aber nur ein Gesicht und niemand weiß genau wie das aussieht. Wir können nur versuchen uns langsam anzunähern.
    Dadurch das aber der menschliche Verstand strukturell funktioniert, d.h. Kisten nimmt und Dinge dort rein steckt, obwohl diese vielleicht eher eine völlig neue Kiste benötigen, spielt er uns einen Streich. Dadurch bewerten wir Dinge anders, als wir sollten. Er gaukelt uns vor richtig zu liegen, um sicher und selbstbewusst durch die Gegend laufen, reden und denken zu können.
    Deswegen hat zwangsläufig jeder von uns falsche Vorstellungen (nicht komplett, nur teilweise natürlich).
    Eine pauschale Herabsetzung des Diskussionspartners ist daher etwas insolent:
    aldiman: „10.000 Fälle, bei dem die Vorhersagen der Relativitätstheorie eingetroffen sind, sind in Drusus Welt weniger wert als die Behauptung von Knalldeppen“
    Drusus: „Du bist ein Eiferer“
    In welcher Form auch immer sollten wir uns davor hüten pauschale Urteile über Widersprüche (gegenüber der Esoterik oder auch der schulmedizinischen Erkenntnisse) zu fällen. Es sollte Offenheit gegenüber der eigenen Fehlbarkeit bestehen.
    Daher finde ich diese Seite sehr gut, auch wenn die Diskussion von einiger Unsachlichkeit durchzogen ist. Aber das ist denke ich normal im Internet.
    Auf dieser Homepage wird anscheinend (ist erst mein erster Besuch auf der Seite) versucht eine Brücke zur Esoterik zu schlagen und ihr eine faire Chance zu geben.
    Dass Vorurteile in jedem Kopf sind und jeder aufgrund dessen unbeabsichtigt vielleicht richtige Ansätze über den Haufen wirft ohne objektiv darüber nachzudenken ist, denke ich, klar. Das macht es der Esoterik nicht einfacher (wobei man Esoterik auch nicht als eine pauschale Masse sehen sollte).
    Ich persönlich kenne gute und schlechte Dinge von der Esoterik. Ich finde die AK-Methoden sehr gut (obwohl man auch da diskutieren kann, ob AK zur Esoterik gehört) und könnte jetzt einige Dinge erzählen bei denen sie mir geholfen haben. Aber glauben müsst ihr mir deswegen noch lange nicht. Das ist verständlich. Man sollte aber versuchen den Dingen, die unseren Vorstellungen widersprechen, offen entgegenzutreten. Sei es man ist Esoteriker oder Thermodynamiker. Dafür ist diese Seite ein erster Schritt.

    Also regt euch doch lieber über die Fussballergebnisse von morgen auf!

    Außerdem denke ich, dass im Falle von AK (und wahrscheinlich noch ein paar anderen Heilpraktikerarten), der endgültige Beweis noch kommen wird.
    Daher abwarten und Tee trinken anstatt Leute zu belagern, die keinen Grund haben mir zu glauben und bei denen ihre Vorurteile von meinen Vorurteilen soweit weg sind, dass es zu schwer ist auf einen Nenner zu kommen.

    Antworten
  48. Ich kann übrigens Laserstrahlen aus meinem Glied verschießen.

    Wer das bezweifelt, ist ein verschulter Dogmatiker, der den Tellerrand nicht sieht, weil es mehr Dinge zwischen Himmel und Erde gibt, als auf die Haut einer flugunfähigen Hummel gehen, Horatio.

    Antworten
  49. Pingback: Anonym
  50. @Peater

    Peater :
    Ich weiß, dass der Beitrag etwas am Thema vorbeischrammt, aber ich wollte das Grundproblem der Diskussion aus meiner Sicht darstellen. Des so wie es sich jetzt abzeichnet ist es eine Endlosdiskussion.
    …Eine pauschale Herabsetzung des Diskussionspartners ist daher etwas insolent:
    aldiman: “10.000 Fälle, bei dem die Vorhersagen der Relativitätstheorie eingetroffen sind, sind in Drusus Welt weniger wert als die Behauptung von Knalldeppen”
    Drusus: “Du bist ein Eiferer”

    Da hast Du leider etwas vergessen zu erwähnen, nämlich dass ich zunächst gefragt habe, ob 10.000 Fälle, bei denen die Vorhersagen der Relativitätstheorie eingetroffen sind, weniger wert als die nächste Behauptung von Knalldeppen. Daraufhin beliebte Drusus seine Beleidigungen mir gegenüber auszupacken, unsinnige Vermutungen („dazu fehlt euch die Neugier“) gegen „uns“ waren ja bereits vorher von ihm geäußert worden, deretwegen ich ja überhaupt erst nachhaltig eingestiegen bin.

    Offenbar hatte er auf meine Frage außer Beleidigungen keine Antwort! Da gebietet es neben einer Neigung zur „Insolenz“ (zugegeben, ja ja) vor allen Dingen die Diskussionsökonomie, dann auch den Sack zuzumachen, um klarzumachen, dass sich ein Diskussionsteilnehmer argumentativ verabschiedet hat und nun eigentlich die Klappe halten könnte.
    Da Dir das nicht aufgefallen ist, werde ich das beim nächsten Mal deutlicher machen müssen. Daher hier noch mal ganz deutlich:

    Drusus war nicht in der Lage, den Vorwurf zu entkräften, er verlange von der Wissenschaft, sich ständig mit jedem Scheiß (wie diesem Hungerkünstler) auseinandersetzen zu müssen.

    Warum ist das überhaupt wichtig? Weil z.B. Anthroposophen die Wissenschaft genau dahin treiben wollen, anstatt Forschung zu betreiben, immer wieder Hahnemann zu prüfen, Hungerkünstler zu begutachten und die x-te Steinerei wohlwollend aufzunehmen, während sie selbst eine Wissenschaft basierend auf Anekdoten aufziehen wollen. Gruß vom ifaemm.

    Antworten
  51. Die Esos haben durch den Hungerkünstler anscheinend wieder kräftig Aufwind für ihr Lichtnahrungsgedönse bekommen:

    TABA’TES – Die Nahrung der Neuen Zeit (Lichtnahrung)

    Ich bin Eschka und ich begrüße dich mit den Worten OMAR TA SATT, mein lieber Lichtarbeiter.

    Die Neue Energie löst die Veränderungen aus, die die Menschen in der Dualität brauchen, um auf der Neuen Erde ein Leben in Frieden, Gesundheit, Freude und Fülle führen zu können. Alte Strukturen lösen sich auf und der Energiestrom der Neuen Zeit fließt ein. Als Lichtarbeiter der Neuen Zeit ist es wichtig, für die neuen Bot- schaften offen zu sein. Das Medium Sangitar wurde aufgerufen, die Neuen Berufe zu channeln, damit die Neue Energie in der Dualität Einzug halten kann. Die Lichtarbeiter werden dieses neue Wissen weitertragen.

    Nun ist die Zeit gekommen, TABA’TES – Nahrung der Neuen Zeit zu euch zu bringen.
    Die Lichtnahrung in der Neuen Zeit unterscheidet sich wesentlich von der euch bekannten Lichtnahrung, denn auch hier fließen neue Energieströme. Die meisten Menschen, die sich spirituell entwickeln, tragen bereits ein hohes Bewusstsein. Die Neue Energie kann in sie einfließen und sich ausdehnen. Selbst Menschen, die sich der Neuen Energie verweigern, und nicht bereit sind, sich zu entwickeln, nehmen sie bereits in sich auf. In die- ser Zeit der Veränderung verläuft die Entwicklung sehr viel schneller als früher. Auch die Zeit der Entbehrungen wird vorüber ziehen.

    Die Nahrung der Neuen Zeit bereichert nicht nur deinen Lebensalltag, sondern versorgt dich mit den höchsten Energien. Wenn du in tiefer Absicht den Lichtnahrungsprozess gehtst, können große Heilungen stattfinden. Wichtig ist, diesen Prozess mit größter Absicht und in hohem Bewusstsein zu gehen, denn es geht um deinen Körper und um dein menschliches Leben auf Erden. Dies ist ein weiterer großer Schritt in die Neue Energie. Du bist der Lichtarbeiter, der mit vollem Vertrauen den neuen Weg beschreitet.

    Bei aller Sorgfalt und tiefer Absicht sollst du auch viel Freude mit der Neuen Nahrung haben. Gehe spielerisch und ohne Druck damit um. Verstehe, dass Druck immer das Gegenteil von dem bewirkt, was du dir wünscht. Sei nicht streng mit dir, sondern liebe dich für deinen Mut und dein Vertrauen.

    Eschka möchte sich bei dem Medium und bei dir, Lichtarbeiter der Neuen Zeit, bedanken.

    AN’ANASHA

    http://www.kryon-hamburg.de/meine-angebote/articles/tabates.html

    Antworten
  52. na gut dass sich Esowatch nicht auf „reflexhaftes“ beruft, sondern auf den Konsens der Ernährungswissenschaftler, veröffentlichte Fachliteratur und auf die wenigen, leider unseriös im Internet veröffentlichten Daten von dem Sudhir Shah.

    Völlig unabhängig davon, ob hier getrickst wurde (wie offenbar im Jahre 2003), ist eine Fastenperiode von zwei Wochen kein Kunststück. Warum das als „mystery“ bezeichnet wird ist mir ein Rätsel. Er durfte diesmal wieder jeden Tag in seiner Wanne ad libitum baden. Ob man diesmal vielleicht drauf gekommen ist nach Urinspuren im Waschwasser zu suchen, ist nicht bekannt. Denkbar ist ja dass er jeden Tag genau die Menge heimlich trinkt die er ins Waschwasser pieselt. Dann stimmt das Gewicht wieder. (Jani’s only contact with any kind of fluid was during gargling and bathing periodically during the period)

    Mistrauisch machen muss, dass wieder nichts über sein einfach zu checkendes Körpergewicht gesagt wird, und dass die indische IRA-Oranisation, die sich als Beobachter anbot, nicht zugelassen wurde das Ganze zu begleiten. Immerhin war es der IRA in der Vergangenheit gelungen Betrüger die behaupteten nichts zu essen, zu entlarven.

    Solange nichts seriös veröffentlicht ist, gibt es keinen Grund an den Grundprinzipien der Bioenergetik zu rütteln.

    Antworten
  53. Sehr spannende Diskussion um ein wirklich strittiges Thema! Mal abgesehen von den noch ausstehenden und hoffentlich auch stattfindenden weiteren Untersuchungen (auch über einen längeren Zeitraum!) hier noch eine interessante Geschichte: Unter dem Titel „Am Anfang war das Licht“ kommt im Herbst 2010 ein österreichischer Film in die Kinos, der sich mit diesem Thema beschäftigt. Ich bin mal gespannt wie tiefgehend da das Gnaze beschrieben wird, bald gibt es da sicher die ersten Filmkritiken und hoffentlich auch das eine oder seriöse medizinische Statement zur Recherchequalität der Filmemacher… VG, Marcel

    Antworten
  54. Ich habe 3 Monate in Indien gelebt, aus Interesse an der Kultur und daran, einen Fotoband zu erstellen. Ich bin ein ganz offner Mensch … für alles. Natürlich gibt es viele Scharlatane, Ihr könnt aber davon ausgehen, das es ganz viele Dinge gibt – die ich gesehen habe – aber auch nicht erklären kann. Und da ging es nicht um Zaubertricks, sondern um die Realität. Man kann viele Dinge nicht sehen, trotzdem sind sie da. (Strom, Wind usw.) Ich hoffe, das die Menschen langsam verstehen, das wir ALLE zu mehr fähig sind – aber leider auch sehr verkümmert sind. Dafür sind wir alle zu sehr von diesem System besessen, das unser Leben diktiert. Werdet Weltoffener .. ich bitte Euch darum !

    Antworten

Schreibe einen Kommentar

css.php